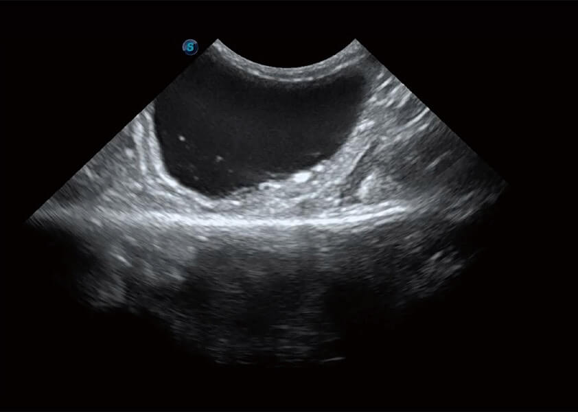
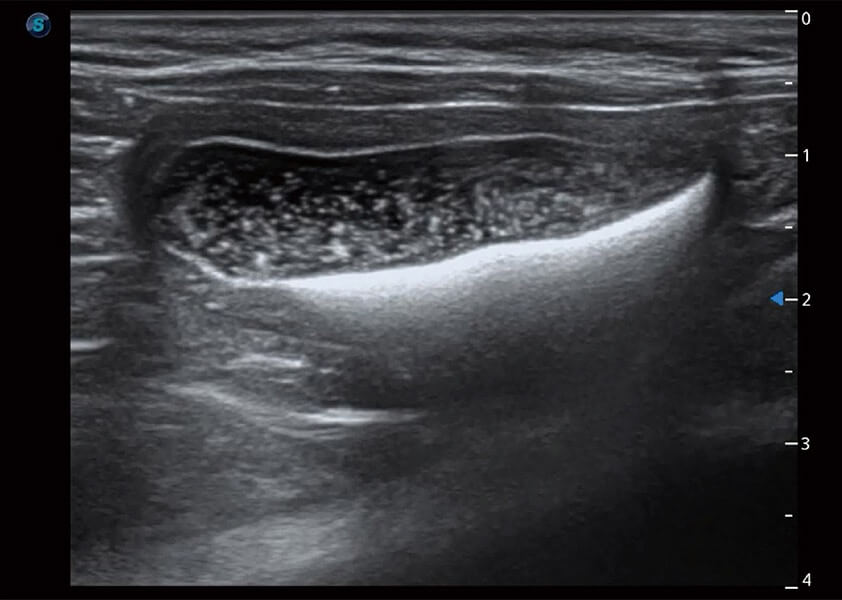
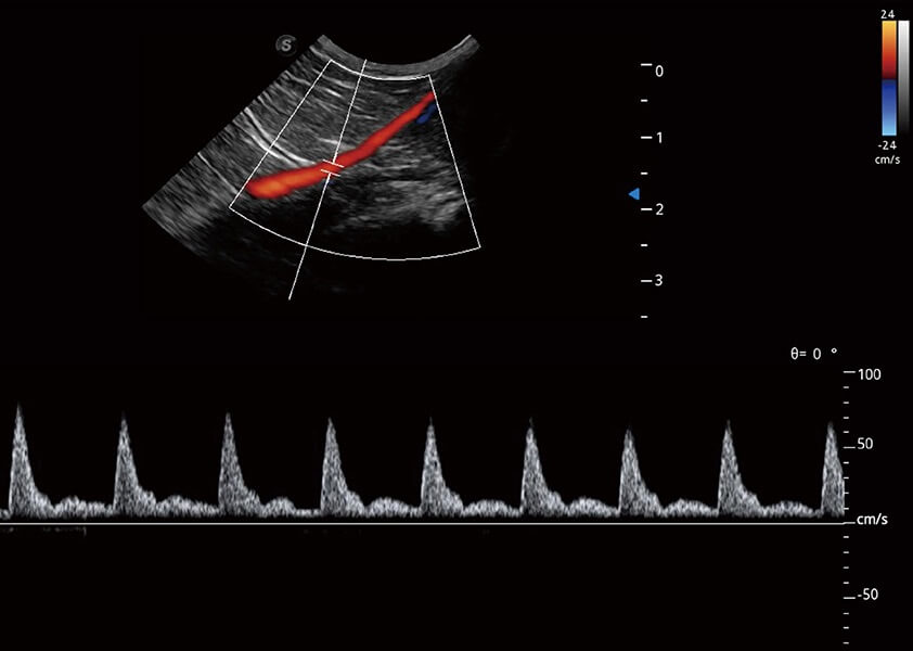
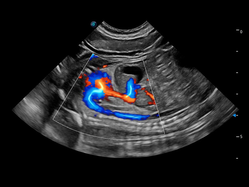
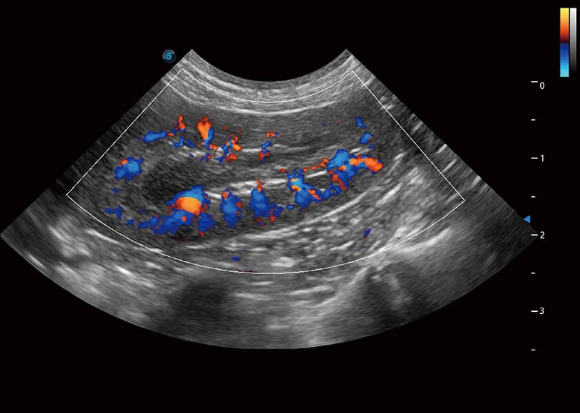
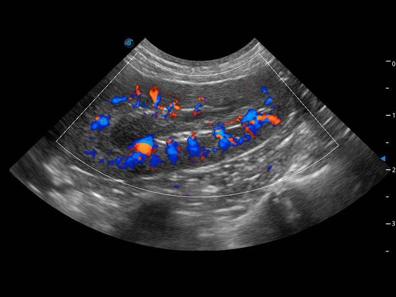
ProPet 60 作为一款高端台式动物超声设备,为动物医生的日常诊断提供了一系列贴合动物临床需求、解决临床实际问题的高级成像功能。凭借全系列高清探头,满足医生对腹部、心脏、生殖、浅表、肌骨等成像的所有需求,切实帮助您提升检查效率,提高诊断信心。
用心呵护,诠释“治愈之力”
ProPet 60 尊享版
兽用彩色多普勒超声诊断系统

动物是人类最亲密的朋友和最值得信赖的伙伴。诸侯快讯官网也一直致力于探索动物专用的超声影像解决方案。 全新推出的ProPet系列,是诸侯快讯官网在动物超声影像智能化、专业化、精准化的一次跨越式革新。动物不能用言语来表述自己的不适,通过超声影像,ProPet系列搭建了动物医生与不同物种沟通的“桥梁”,为动物医生注入了“治愈之力”。
广告
